7 señales inconfundibles de que el COVID-19 está dañando tus pulmones
Desde que los médicos y científicos se enteraron de la existencia del COVID-19 han ido...
Desde que los médicos y científicos se enteraron de la existencia del COVID-19 han ido delimitando poco a poco los síntomas de esta enfermedad. Sabemos hasta ahora que afecta al sistema respiratorio, baja los niveles de oxigenación en la sangre y que puede elevar nuestra temperatura, así como provocar una tos persistente.
Estos síntomas se presentan mientras se tiene la enfermedad. Sin embargo, se han encontrado secuelas después de contraer el coronavirus. Entre ellas, daños neurológicos, dificultad para respirar y daños en tus pulmones, incluso después de 3 meses de haber enfermado.
De acuerdo con estudios hechos por la Universidad de Oxford, el COVID-19 ataca los pulmones hasta dejarlos irreconocibles. Incluso esto puede pasar entre las personas que han sido asintomáticas. Además, el 87% de los pacientes que superan la enfermedad, se quedan con la persistencia de al menos un síntoma, lo que se le conoce como COVID prolongado.

La tos persistente es sólo una señal de que algo no está bien | Fuente: Pexels
Señales de que el COVID-19 está afectando a tus pulmones
Alrededor del 30% por ciento de los pacientes que se recuperan del COVID, presentan daños en el tejido pulmonar. Aunque aún queda mucho por conocer sobre las secuelas, como la parosmia y su duración, hay estudios que revelan que los daños podrían durar para siempre.
Estos son los síntomas del daño pulmonar causado por COVID-19.
Desarrollar otra enfermedad pulmonar
El investigador de la Facultad de Salud Pública Bloomberg, Amesh Adalja y experto en enfermedades infecciosas señala que aunque se recupere de una neumonía bacteriana o viral los daños pueden ser permanentes. Agrega que hay secuelas graves que harán muy difícil volver al funcionamiento inicial. Sin embargo, se cree que este deterioro puede mejorar con el tiempo, lo que indica que los pulmones tienen capacidad para repararse solos.
Falta de aliento
Se presenta ante cualquier esfuerzo físico, aún si eres una persona activa. Este síntoma te puede alertarte sobre un caso positivo en COVID-19. Es uno de los primeros síntomas de una función pulmonar deficiente. Además es persistente en un 64% de los pacientes. Y es que el daño es prolongado debido a la destrucción del tejido pulmonar.

Si tus niveles e oxigenación están bajos y te falta el aire, son señales de daño pulmonar | Fuente: Pexels
Dificultad para respirar
La disnea o la dificultad para respirar, junto con el dolor de pecho y las articulaciones en uno de los síntomas más comunes en casos persistentes. Además, se sufre una producción excesiva de bradicinina, sustancia que dilata los vasos sanguíneos e invade los alvéolos. Esto pasa con las enfermedades pulmonares, como la neumonía, los pulmones se llenan de líquido y causan dificultades para respirar.
Tos persistente
Después del periodo de incubación, que es unos cinco días, los pacientes sintomáticos presentan fiebre y tos. La OMS indica que se puede acompañar la tos con una fatiga constante y puede durar hasta 2 semanas, dependiendo de la gravedad de la infección.
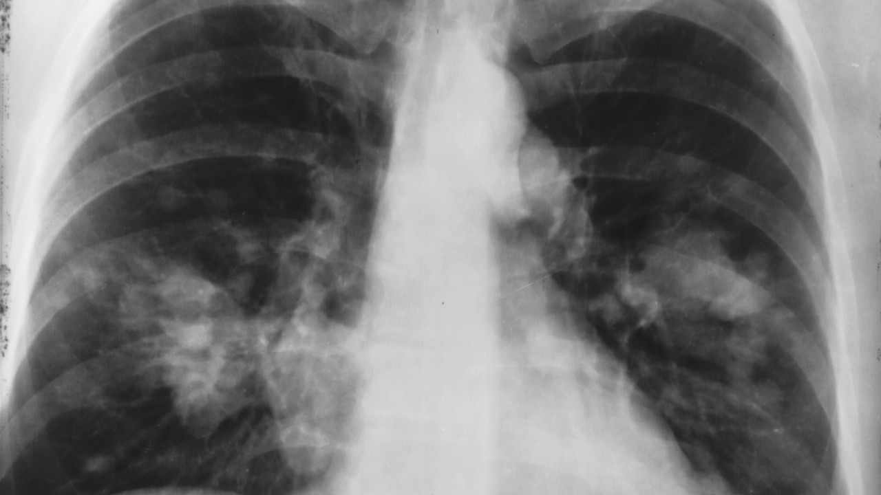
Aparece en las radiografías un pulmón de fumador
De acuerdo con la cirujana Bankhead-Kendall ha revisado muchas radiografías de tórax de casos positivos en COVID-19, los cuales se veían peor que los de un fumador habitual. Y es que entre el 70 y 80% de los contagiados asintomáticos terminan desarrollando problemas pulmonares severos.

Se indican problemas en los pulmones en las radiografías | Fuente: Pexels
Fatiga constante
Este es uno de los síntomas más frecuentes entre los pacientes de Coronavirus. Independientemente de la gravedad que se haya tenido durante el COVID, esta fatiga se presenta después de tener la afección. Se relaciona con la inflamación continua del cuerpo, se altera el sistema inmunológico y afecciones al cerebro. También puede ser causada por la falta de aire o una hipoxia silenciosa, esto es, una deficiencia de oxígeno en la sangre. Aquí tienes unos ejercicios para aumentar tu oxigenación.
Otros órganos comienzan a fallar
La especialista Bankhead-Kendall revela que se presentan lesiones en los pulmones a largo plazo, con problemas de coagulación y hasta trombosis pulmonar. También se señala que los síntomas pueden aparecer en forma cíclica, afectando al sistema cardiovascular, pulmones y dejar secuelas en el cerebro, más allá de la salud mental.

Los daños neuronales también son un síntoma de daños Post Coronavirus| Fuente: Pexels
Te recomendamos atento a cualquier síntoma y mantener las medidas sanitarias: utilizar cubrebocas cuando salgas, evitar lugares concurridos, utilizar gel antibacterial y el lavado frecuente de manos.
¿Qué piensas de estas señales de que el COVID-19 está dañando a tus pulmones? ¿Has presentado algunos de estos síntomas?
***
No te pierdas todo el contenido de Viviendo en Casa en YouTube.